Dental Crowns & Bridges in Medavakkam

Restore damaged or missing teeth with strong, natural-looking dental restorations

What Are Dental Crowns and Bridges?

Dental crowns and bridges are fixed dental restorations used to repair damaged teeth and replace missing teeth. Crowns cover and protect weakened teeth, while bridges fill the gap created by one or more missing teeth.

These restorations are designed to restore chewing ability, appearance, and long-term oral function.

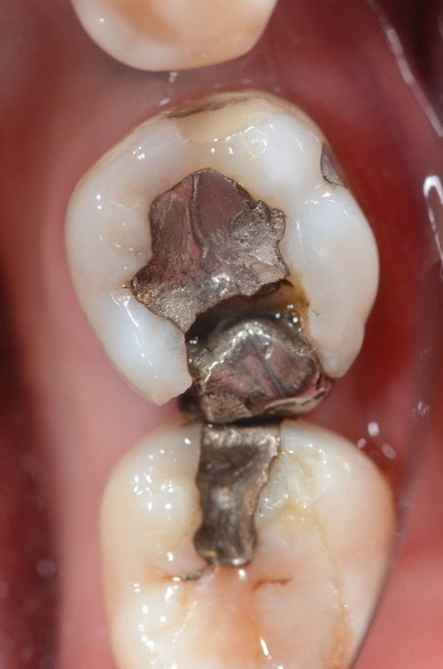
dental-crown-for-broken-tooth-medavakkam.jpg
Dental crown placed after root canal treatment
Dental bridge replacing one or more missing teeth
Dental crown used to strengthen worn-down teeth

Who Needs Crowns or Bridges?

Types of Dental Crowns We Offer

Metal dental crown used for molar tooth restoration

Metal Crowns

Strong and durable option used mainly for back teeth
Porcelain dental crown matching natural tooth color

Ceramic / Porcelain Crowns

Tooth-colored crowns offering excellent aesthetics.
Zirconia dental crown metal-free tooth restoration

Zirconia Crowns

Highly durable, natural-looking, and metal-free option.
E-Max dental crown for front teeth cosmetic restoration

E-Max Crowns

Premium glass-ceramic crowns known for superior aesthetics and ideal for front teeth restorations.

Frequently Asked Questions

No, the procedure is done under local anesthesia.

With care, they can last many years.

Yes, bridges can replace one or more missing teeth.

Need to Restore a Damaged or Missing Tooth?

We provide dental crowns and bridges treatment in Medavakkam, Pallikaranai, Madipakkam, Velachery, and nearby areas.

Prefer to talk to us? Call us directly for quick guidance.